問題番号 1~20
午後-1
口腔から入った食物の通過順序で正しいのはどれか。1つ選べ。
a. 直腸 → 結腸 → 回腸 → 空腸
b. 空腸 → 回腸 → 結腸 → 直腸
c. 結腸 → 空腸 → 直腸 → 回腸
d. 回腸 → 直腸 → 空腸 → 結腸
解答を見る
b
午後-2
象牙質にみられるのはどれか。1つ選べ。
a.歯小皮
b.周波条
c.Retzius〈レチウス〉条
d.Owen〈オーエン〉外形線
解答を見る
d
午後-3
頭蓋骨側面の写真を別に示す。 矢印で示す部位に付着するのはどれか。1つ選べ。

a.咬筋
b.側頭筋
c.外側翼突筋
d.内側翼突筋
解答を見る
c
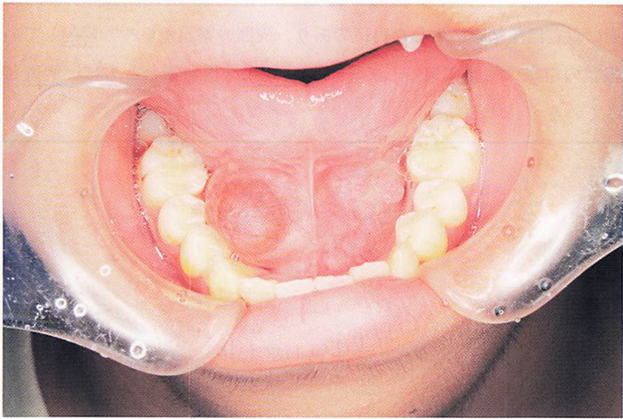
午後-4
口腔内写真(別冊午後N。.2)を別に示す。矢印で示すのはどれか。1つ選べ。
a.下唇小帯
b.口蓋小窩
c.舌下小丘
d.耳下腺乳頭
解答を見る
c
午後-5
耳下腺唾液の電解質濃度と分泌速度の関係を図に示す。Na+はどれか。1つ選べ。

a. ①
b. ②
c. ③
d. ④
解答を見る
a
午後-6
味覚の神経機構を模式図に示す。①で示す点線で囲んだ部位はどれか。1つ選べ。

a.孤束核
b.下唾液核
c.三叉神経運動核
d.三叉神経中脳路核
解答を見る
a
午後-7
グアニンと水素結合しDNAを構成するのはどれか。1つ選べ。
a.チミン
b.アデニン
c.ウラシル
d.シトシン
解答を見る
d
午後-8
自己免疫疾患はどれか。1つ選べ。
a.白板症
b.紅板症
c.天疱瘡
d.帯状疱疹
解答を見る
c
午後-9
エプーリスの発症部位はどれか。1つ選べ。
a.舌
b.歯肉
c.頬粘膜
d.口蓋粘膜
解答を見る
b
午後-10
ある患者の上顎前歯の形態を模式図に示す。この患者の胎児期に母親の罹患が疑われるのはどれか。1つ選べ。

a.結核
b.梅毒
c.風疹
d.麻疹
解答を見る
b
午後-11
ワクチンの概念をつくったのはどれか。1つ選べ。
a.野口英世
b.北里柴三郎
c.ロベルト・コッホ
d.エドワード・ジェンナー
解答を見る
d
午後-12
Antincrobial ResiStance はどれか。1つ選べ。
a. 化学療法
b. 乾熱滅菌
c. 薬剤耐性
d. 標準予防策
解答を見る
c
午後-13
薬局などで自分で選んで買える医薬品(OTC医薬品)の分類を図に示す。①はどれか。1つ選べ。

a.医薬部外品
b.医療用医薬品
c.要指導医薬品
d.処方せん医薬品
解答を見る
c
(難易度が高いため削除)
午後-14
筋肉の特徴を表に示す。この筋肉の収縮を抑制するのはどれか。1つ選べ。

a.β遮断薬
b.抗コリン薬
c.競争性筋弛緩薬
d.抗ヒスタミン薬
解答を見る
c
午後-15
アミド型局所麻酔薬が主に代謝されるのはどれか。1つ選べ。
a.肺
b.肝臓
c.血漿
d.粘膜
解答を見る
b
午後-16
萌出後のエナメル質の成熟に関係する唾液中のイオンはどれか。2つ選べ。
a. K+
b. Na+
c. Ca2+
d. PO4 3-
解答を見る
c.d
午後-17
プラークコントロールで状況の改善が期待できるのはどれか。2つ選べ。
a.不正咬合
b.誤嚥性肺炎
c.慢性副鼻腔炎
d.全身因子関連歯肉炎
解答を見る
b.d
午後-18
市販のフッ化物配合洗口剤力該当する法令上の分類はどれか。1つ選べ。
a.雑貨
b.医薬品
c.化粧品
d.医薬部外品
解答を見る
b
午後-19
う蝕予防のために用いられる代用甘味料の特徴を表に示す。糖アルコールはどれか。2つ選べ。

a. ①
b. ②
c. ③
d. ④
解答を見る
b.c
午後-20
歯周組織の断面の模式図を示す。②はどれか。1つ選べ。

a.歯周膿瘍
b.慢性歯周炎
c.プラーク性歯肉炎
d.壊死性潰瘍性歯周炎
解答を見る
c
問題番号 21~40
午後-21
22歳の女性。口臭を主訴として来院した。喫煙はせず、全身健康状態は 良好である。口腔内診査の結果、治療を要する歯科疾患は認められない。官能検査の結果はスコア0であった。呼気のガスクロマトグラフィー検査の結果を表に示す。考えられるのはどれか。 1つ選べ。

a.病的口臭
b.外因性口臭
c.心因性口臭
d.生理的口臭
解答を見る
c
午後-22
歯周病に関する指数の診査対象歯を図に示す。該当する指数はどれか。1つ選べ。

a. GI
b. PI
c. GB Count
d. PMA Index
解答を見る
a
午後-23
老年人口割合の算出式を図に示す。①はどれか。 どれか。1つ選べ。

a.総人口
b.従属人口
c.年少人口
d.生産年齢人口
解答を見る
a
午後-24
疫学研究計画の流れを図に示す。この研究方法の特徴はどれか。1つ選べ。

a.調査期間が長い。
b.前向き研究である。
c.罹患率を推計できる。
d.まれな疾患の研究に適している。
解答を見る
d
午後-25
Breslowの7つの健康習慣で食習慣こ関連する項目はどれか。2つ選べ。
a.好き嫌いをしない。
b.朝食を毎日食べる。
c.よく噛んで食べる。
d.不必要な間食をしない。
解答を見る
b.d
午後-26
母子健康手帳で正しいのはどれか。1つ選べ。
a.都道府県が交付する。
b.出生届の提出により交付される。
c.児童福祉法に基づいて交付される。
d.居住者には国籍にかかわらず交付される。
解答を見る
d
午後-27
歯科診療所の感染予防対策として、口腔外バキューム装置を設置した。 労働衛生管理で該当するのはどれか。1つ選べ。
a.健康管理
b.作業管理
c.保健管理
d.作業環境管理
解答を見る
d
午後-28
我が国の衛生行政で保健所が拠点となるのはどれか。1つ選べ。
a.健康危機管理
b.医療保険の指導監視
c.地域に密着した保健指導
d.母子・父子福祉センターの運営
解答を見る
a
午後-29
地域において精神保健活動を行っている機関はどれか。2つ選べ。
a.保健所
b.衛生研究所
c.精神保険福祉センター
d.地域包括支援センター
解答を見る
a.c
午後-30
介護保険制度における地域ケア会議の目的はどれか。1つ選べ。
a.地域課題の把握
b.要介護認定の診査
c.居宅サービス計画の作成
d.サービス付き高齢者向け住居の設置
解答を見る
a
午後-31
判断能力のある患者へのインフォームド・コンセントで正しいのはどれか。 1つ選べ。
a. 看護師や歯科衛生士の責任で説明できる。
b. 患者にとって有害な情報の提供は制限する。
c. 医師が勧める治療を受け入れるために行われる。
d. 16歳以上の未成年の場合は保護者と本人の同意を得る。
解答を見る
d
午後-32
歯科医療機関におけるヒューマンエラー対策の充実を図るため、従事者の問題解決能力を高めることとした。 適切な対応はどれか。1つ選べ。
a.危険予知訓練の実施
b.多重防御機能の構築
c.アフォーダンスの構築
d.チェックリストの作成
解答を見る
a
午後-33
職業倫理に関する規範の一部を図に示す。この規範を定めたのはどれか。1つ選べ。

a.国際歯科連盟
b.国際労働機関
c.世界保健機関
d.国際歯科衛生士連盟
解答を見る
d
午後-34
新生児から成長発育とともに減少するバイタルサインはどれか。2つ選べ。
a.呼吸数
b.心拍数
c.収縮期血圧
d.最大酸素飽和度
解答を見る
a.b
午後-35
CTとMRIに共通する特徴はどれか。2つ選べ
a.断層撮影である。
b.放射線被爆がある。
c.造影剤が利用できる。
d.フィルムを使用する。
解答を見る
a.c
午後-36
放射線の線量とその影響の現れる確率の関係を図に示す。この図に該当するのはどれか。1つ選べ。

a.脱毛
b.不妊
c.骨壊死
d.白血病
解答を見る
d
午後-37
顎口腔機能検査と用いる方法の組合せで正しいのはどれか。2つ選べ。
a.筋機能検査―ゴシックアーチ描記法
b.下顎運動検査―チェックバイト法
c.構音機能検査―パラトグラム
d.歯列・咬合検査―口腔内スキャナー
解答を見る
選択肢の表現に不備があるため削除(cは正解)
午後-38
41歳の男性。上顎臼歯の詰め物がとれたことを主訴として来院した。 上顎左側第一大臼歯咬合面のインレーが脱離し、コンポジットレジン修復を行うことになった。処置中の口腔内写真(ミラー像)を別に示す。 この操作の目的はどれか。2つ選べ。

a.歯冠の分離
b.歯肉の圧排
c.施術野の視野の確保
d.唾液による窩洞汚染の防止
解答を見る
c.d
午後-39
54歳の女性。ブラッシング時に下顎左側中切歯に痛みを感じることを主訴として来院した。同歯の唇側歯頚部を探針で擦過すると一過性の痙痛を確認した。初診時の口腔内写真を別に示す。 露出根面に塗布するのはどれか。1つ選べ。

a.ヨードホルム製剤
b.シュウ酸カリウム製剤
c.水酸化カルシウム製剤
d.次亜塩素酸ナトリウム製剤
解答を見る
b
午後-40
45歳の女性。上顎左側奥歯の金属の詰め物がとれ冷水がしみることを 主訴として来院した。上顎左側第一大臼歯の急性化膿性歯髄炎と診断され、抜髄法が行われた。術中のある操作時のマイクロスコープ写真を別に示す。 この操作の目的はどれか。1つ選べ。

b.過剰根管充填の予防
c.根管充填の緊密度向上
d.根管用シーラーの塗布
解答を見る
c
問題番号 41~60
午後-41
上顎右側側切歯に対して、歯根尖切除と逆根管充填が行われることになった。治療過程を図に、使用する器具の写真を別に示す。この器具を使用するのはどれか。1つ選べ。


a. ①
b. ②
c. ③
d. ④
解答を見る
c
午後-42
32歳の男性。上顎左側側切歯の違和感を主訴として来院した。診察の結果、感染根管治療および根管内の異物の除去が行われることになった。初診時のエックス線画像と仮封材除去後のマイクロスコープ写真を別に示す。
異物の除去に使用するのはどれか。1つ選べ。

a.有鈎探針
b.スプレッダー
c.超音波チップ
d.ニッケルチタンロータリーファイル
解答を見る
c
午後-43
フラップ手術の手順の口腔内写真を別に示す。 粘膜骨膜剥離をしているのはどれか。1つ選べ。


a. ①
b. ②
c. ③
d. ④
解答を見る
b
午後-44
45歳の女性。下顎左側小臼歯部の歯が伸びて見えることを主訴として来院した。歯周基本治療後に、下顎左側第一小臼歯の歯根露出に対して根面被覆を目的に歯周形成術を行うことになった。手術中の口腔内写真を別に示す。
行った手術はどれか。1つ選べ。

a.歯肉剥離掻爬術
b.遊離歯肉移植術
c.歯肉弁側方移植術
d.歯肉弁歯冠側移動術
解答を見る
b
午後-45
1歯欠損に応用される2種類の補綴装置の写真を別に示す。Aと比較したBの特徴はどれか。2つ選べ。


a.違和感が少ない。
b.侵襲性が小さい。
c.咀嚼能率が高い。
d.取り外しが容易である。
解答を見る
a.c
午後-46
25歳の女性。前歯部の審美不良を主訴として来院した。上顎左側側切歯の欠損に対してインプラント治療を行うことになった。補綴装置の製作過程の写真を別に示す。矢印で示す開口部分の目的はどれか。1つ選べ。

a.印象材の注入
b.印象材の剥離防止
c.印象圧のコントロール
d.印象用コーピングの操作
解答を見る
d
午後-47
下顎部分床義歯の写真を別に示す。 矢印で示す部位について正しいのはどれか。1つ選べ。

a.大連結子である。
b.支持機能を有する。
c.クラスプと床をつなぐ。
d.断面形態は円形である。
解答を見る
a
午後-48
54識の女性。下顎左側の咀噛困難を主訴として来院した。インプラントを 埋入し、上部構造を製作した。製作物の写真と装着時の口腔内写真(ミラー像)を別に示す。 製作物の特徴はどれか。2つ選べ。


a.セメントで合着する。
b.患者が取り外しできる。
c.スクリュー固定である。
d.アクセスホールが存在する。
解答を見る
c.d
午後-49
19歳の男性。口腔内の腫脹を主訴として来院した.1週前から腫脹に気付いていたが、痛みがないため様子をみていたところ、次第に増大してきたと いう、特記すべき既往歴はない。ラヌーラと診断された。初診時の口腔内写真を別に示す。 この疾患の特徴はどれか。2つ選べ。

a.弾性軟である。
b.内部に唾液が貯留している。
c.境界不明瞭で浸潤性発育を示す。
d.胎生期に迷入した上皮に由来する。
解答を見る
a.b
午後-50
三叉神経痛の特徴はどれか。2つ選べ。
a.片側性に生じる。
b.嚥下が誘因となる。
c.顔面に特定の圧痛点がみられる。
d.電撃用疼痛が5分以上持続する。
解答を見る
a.c
午後-51
口腔扁平苔癬の写真と病変の特徴に関する所見を別に示す。 下線部で適切なのはどれか。2つ選べ。


a. ①
b. ②
c. ③
d. ④
解答を見る
a.b
午後-52
下顎骨の写真を別に示す。 成長過程で吸収するのはどれか。1つ選べ。

a. ①
b. ②
c. ③
d. ④
解答を見る
a
午後-53
矯正歯科診断用の資料の写真を別に示す。 この資料で分析できるのはどれか。2つ選べ。

a.オーバーバイト
b.咬合平面の傾斜度
c.上下顎骨の前後的位置関係
d.アーチレングスディスクレパンシー
解答を見る
a.d
午後-54
矯正装置による上顎中切歯の移動様式を図に示す。この移動に用いるのはどれか。1つ選べ。

a.咬合挙上板
b.アクチバトール
c.リンガルアーチ
d.マルチブラケット装置
解答を見る
d
午後-55
矯正装置製作のための前処置の写真を別に示す。これらの処置が必要なのはどれか。2つ選べ。


a.舌側弧線装置
b.タングクリブ
c.ホーレーの保定装置
d.トゥースポジショナー
解答を見る
a.b
午後-56
3歳の男児。3歳児歯科健康診査で軟組織異常の指摘を受けて来院した。 初診時の口腔内写真を別に示す。 これによって生じるのはどれか。1つ選べ。


a.開口障害
b.構音障害
c.萌出障害
d.唾液の分泌障害
解答を見る
b
午後-57
4識の女児。転倒による上顎左側乳中切歯の脱落を主訴として来院した。 欠損部に対して装置を製作することとした。装置装着時の口腔内写真を別に示す。この装置の特徴はどれか。2つ選べ。

a.審美性の改善
b.鼻呼吸の促進
c.咀嚼機能の回復
d.後継歯の萌出促進
解答を見る
a.c
午後-58
70歳の女性。脳血管疾患の既往があり誤嚥性肺炎を繰り返すため 経管栄養を行うこととなった。経鼻経管が留置きれている写真を別に示す。 管の先端が留置されている部位はどれか。1つ選べ。

a.鼻腔
b.咽頭
c.食道
d.胃
解答を見る
d
午後-59
75歳の男性。家族から「脳梗塞により意思疎通が難しく、右麻痺があり、 自身での口腔清掃は困難で食物残渣が多量に停留している。」と相談を受けた。発語は困難であるが、認知機能には問題がないという。 適切な助言はどれか。2つ選べ。
a.仰臥位での口腔清掃
b.低発泡性歯磨剤の推奨
c.コミュニケーションボードの使用
d.十分に水分を含ませたスポンジブラシでの口腔清掃
解答を見る
b.c
午後-60
パーキンソン病の四大症状に含まれるのはどれか。2つ選べ。
a.幻視
b.強剛
c.失認
d.振戦
解答を見る
b.d
問題番号 61~80
午後-61
デュシェンヌ型筋ジストロフィーの遺伝様式の模式図を示す。□が 男性、○が女性、X’が保因染色体である。発症するのはどれか。1つ選べ。

a. ①
b. ②
c. ③
d. ④
解答を見る
a
午後-62
3識の男児。異常樋音があるため言語治療を受けている。口腔内写真を別に示す。考えられる構音障害の種類はどれか。1つ選べ。


a.器質性
b.機能性
c.聴覚性
d.運動障害性
解答を見る
a
午後-63
令和4年歯科疾患実態調査における「フッ化物応用の経験の有無」の結果を図に示す。④はどれか。 1つ選べ。ただし、①~④はa~dのいずれかに該当する。

a.経験なし
b.フッ化物洗口
c.フッ化物塗布
d.フッ化物配合歯磨剤の使用
解答を見る
d
午後-64
生活習慣と関連する疾患の組合せで正しいのはどれか。2つ選べ。
a.飲酒―慢性閉塞性肺疾患〈COPD〉
b.喫煙―歯周病
c.食生活―脂質異常症
d.運動習慣―Sjogren症候群
解答を見る
b.c
午後-65
歯周病が原因で抜去した歯の写真を別に示す。 矢印で示す付着物の成分で最も多いのはどれか。1つ選べ。

a.赤血球
b.菌体成分
c.唾液タンパク質
d.リン酸カルシウム
解答を見る
d
午後-66
55歳の男性。ブラッシング時の歯肉からの出血と口臭を主訴として来院した。歯磨きは1日に1回行っているという。歯周組織検査実施後に歯周ポケットからプラークを採取し、位相差顕微鏡で観察した際の写真を別に示す。
矢印で示す形態を呈するのはどれか。1つ選べ。

a. Treponema denticola
b. Prevotella intermedia
c. Rprphyromonas gingivalis
d. Aggregatibacter actinomycetemcomitans
解答を見る
a
午後-67
歯垢染色後の歯の模式図(別冊午後N026)を別に示す。 PHPの値はどれか。1つ選べ。
a.2.50
b.3.00
c.3.17
d.4.33
解答を見る
a
午後-68
67歳の女性。下顎右側第一大臼歯のブ 67歳の女性。下顎右側第一大臼歯のブラッシング時の出血を主訴として来院した。歯周組織検査の結果の一部を図に示す。歯と歯周組織の状態で正しいのはどれか。2つ選べ。

a.歯槽骨吸収を認める。
b.歯が垂直的に動揺する。
c.頬側に歯肉退縮を認める。
d.プローブが根分岐部を貫通する。
解答を見る
a.c
午後-69
58歳の女性。歯石除去を希望して来院した。ペースメーカーを装着して いるという。歯科医師から歯石除去の指示を受けた。口腔内写真を別に示す。 使用する器具はどれか。1つ選べ。

a.音波歯ブラシ
b.超音波スケーラー
c.Nd;YAGレーザー
d.シックルタイプスケーラー
解答を見る
d
午後-70
歯周組織検査項目とその状態を表に示す。歯周基本治療後、SPTへ移行するために求められる条件はどれか。1つ選べ。

a. ①
b. ②
c. ③
d. ④
解答を見る
b
午後-71
グレーシータイプキュレットのシャープニング操作で正しいのはどれか。 2つ選べ。
a.スケーラーは執筆状変法で把持する。
b.カッティングエッジの形態を保持する。
c.第一シャンクを12時の方向に設定する。
d.偶数番号は刃部の先端を術者とは反対に向ける。
解答を見る
b.d
午後-72
45歳の男性。慢性歯周炎と診断された。歯周基本治療を終え、3か月後 に来院した。歯周基本治療終了時と来院時の歯周組織検査およびプラークの付着 状態の結果の一部を図に示す。来院時に実施するのはどれか。2つ選べ。

a.PTC
b.咬合調整
c.抗菌薬の投与
d.口腔衛生指導
解答を見る
a.d
午後-73
3歳の男児。う蝕予防を目的とした定期歯科健康診査のため母親と来院した。診察の結果、歯科医師からう蝕予防処置計画を立案するよう指示を受けた。う蝕のリスク検査結果の一部と口腔内写真を別に示す。 適切なのはどれか。1つ選べ。




a.フッ化物歯面塗布
b.フッ化物洗口の指導
c.フッ化ジアンミン銀塗布
d.1,450ppmフッ化物配合歯磨剤の推奨
解答を見る
a
午後-74
う蝕のリスク検査で、唾液中の細菌の酸産生能をエナメル質粉末の溶解量で評価するのはどれか。1つ選べ。
a. Wach test
b. Snyder test
c. Fosdick test
d. Hardiey test
解答を見る
c
次の文を読み、〔問題 75〕、〔問題76〕に答えよ。
13歳の女子。う蝕の糖査を希望して来院した。下顎右側第二大臼歯の小窩裂溝填塞の指示を受けた。 歯科医師から萌出が完了した 使用する器材の一部の写真 (別冊午後No.30)を別に示す。

午後-75
使用法はどれか。2つ選べ。
a.3分間処理する。
b.歯面全体に塗布する。
c.塗布後は十分に水洗を行う。
d.処理後に歯面の白濁を確認する。
解答を見る
c.d
午後-76
これを使用する小窩裂溝填塞法の特徴はどれか。1つ選べ。
a.耐摩耗性に優れる。
b.防湿が不要である。
c.粉末と液を練和する。
d.半萌出歯が適応である。
解答を見る
a
午後-77
10歳の女児。う蝕治療後のメインテナンスのために来院した。 歯科医師からう蝕再発予防のために2%フシ化ナトリウム溶液を塗布するよう指示を受けた。適切な対応はどれか。2つ選べ。
a.3~4分間歯面に塗布する。
b.ガラスの容器に薬液を容易する。
c.たまった唾液を飲み込むよう伝える。
d.2週間以内に4回の塗布が必要なことを説明する。
解答を見る
a.d
午後-78
82歳の女性。大腿骨頚部骨折のため居宅で療養中である。口腔内にプラークの付着が多く、口臭が気になると介護支援専門員から口腔衛生管理を依頼された。本人に口腔清掃の実地指導を行った際、歯ブラシを持ったまま鏡の前で 呆然としていることが複数回確認された。 実施すべき検査はどれか。1つ選べ。
a.MMSE
b.MWST
c.GOHAI
d.MNA-SF
解答を見る
a
午後-79
安静時と摂食嚥下関連器官の運動検査時の写真(別冊午後N0.31A,B) を別に示す。 この検査で、Bの動きができない場合に生じるのはどれか。2つ選べ。


a.食べこぼし
b.喀出能の低下
c.咬合力の低下
d.発音の不明瞭
解答を見る
a.d
午後-80
A市の保健センターで、半年間幼児とその保護者を対象とした「歯の健康教室」を実施した。終了後の報告書の一部を図に示す。アウトプット評価はどれか。1つ選べ。

a. ①
b. ②
c. ③
d. ④
解答を見る
a
問題番号 81~100
午後-81
25歳の女性。歯石が気になることを主訴として来院した。初診時の業務記録の一部を図に示す。SOAPの項目と内容の組合せで正しいのはどれか.1つ選べ。

a.S―下顎前部舌側歯肉縁上歯石あり
b.O―デンタルフロスの使用方法指導
c.A―O`LearyのPCR60%
d.P―下顎前歯部スケーリング
解答を見る
d
午後-82
50歳の男性。特定健康診査を受診後に、特定保健指導の「積極的支援」が必要であると判断された。喫煙経験はないという。特定健康診査の結果の一部を表に示す。「積極的支援」の根拠となった検査項目はどれか。2つ選べ。

a.BMI
b.血圧
c.中性脂肪値
d.空腹時血糖値
解答を見る
b.d
(難易度が高いため削除)
午後-83
B県歯科衛生士会に小学6年生60人を対象とした健康教育の依頼があった。対象児童の歯・口腔の定期歯科健康診断の結果の一部を表に示す。鑑先して実施する講話内容はどれか。2つ選べ。

a.噛むことの効果
b.歯口清掃の方法
c.フッ化物の応用
d.歯肉炎の成り立ち
解答を見る
b.d
午後-84
53歳の女性。乳がん治療のため別日前から外来で抗がん剤治療を受けている。5日前から食事やブラッシングで痛みが生じることを主訴として来院した。歯科医師から歯科保健指導の指示があった。口腔内写真を別に示す。 適切な指導内容はどれか。2つ選べ。

a.ジェル状の保湿剤を塗布しましょう。
b.研磨剤無配合の歯磨剤を使用しましょう。
c.ヘッドの大きい歯ブラシを使いましょう。
d.ポピドンヨードで頻回にうがいしましょう。
解答を見る
a.b
午後-85
76歳の男性。2日前に脳梗塞を発症し、急性期病棟に入院中である。口腔清掃が自立していないため、主治医から歯科に口腔衛生管理の依頼があった。 挺舌時の口腔内写真を別に示す。 舌の異常所見はどれか。1つ選べ。

a.萎縮
b.潰瘍
c.偏位
d.びらん
解答を見る
c
午後-86
85歳の男性。緩和ケア病棟の医師から口腔衛生管理を依頼された。主訴に口腔内の痛みがある。口腔内写真(別冊午後No,34)を別に示す。 観察できるのはどれか。1つ選べ。

a.潰瘍
b.水泡
c.排膿
d.白苔
解答を見る
d
午後-87
幼稚園の年少クラスに対する20分間の健康教育を依頼された。 適切なのはどれか。2つ選べ。
a.講話を主体とする。
b.グループ討論を組み込む。
c.動きのある媒体を取り入れる。
d.教育内容を保護者と共有する。
解答を見る
c.d
午後-88
スクロースと比較してエリスリトールの歯垢に対する作用で低下するのはどれか。2つ選べ。
a.pH
b.緩衝能
c.形成量
d.付着性
解答を見る
c.d
午後-89
脳性麻揮のある患児の摂食嚥下指導で直接訓練を行うことにした。訓練に使用したスプーンの写真(別冊午後No.35)を別に示す。 このスプーンの使用で指導できるのはどれか。2つ選べ。

a.食物の形態
b.口唇での捕食の誘導
c.1回に与える食物の量
d.食物を口に運ぶペース
解答を見る
b.c
午後-90
83歳の女性。Alzheimer〈アルツハイマー〉型認知症と診断され、 要介護度3で特別養護老人ホームに入居している.ミールラウンドに参加したところ、食事への関心が低く、食べ疲れにより徐々に食事のペースが落ちている ことがわかった。3か月で体重が3kg減少している。むせや誤嚥はみられず、 咀噛能力に問題はなかった。 食生活指導で適切なのはどれか。2つ選べ。
a.鉱物の食事を提供しましょう。
b.賑やかな環境を作りましょう。
c.高カロリー食品を取り入れましょう。
d.料理と食器のコントラストを統一しましょう。
解答を見る
a.c
午後-91
8歳の女児。定期歯科健康診査で来院した。口腔内写真(別冊午後 No.36)を別に示す。 口腔内でみられるのはどれか。2つ選べ。
a.上唇小帯の異常
b.乳臼歯部の咬耗
c.前歯部の交叉咬合
d.Hellmanの歯齢ⅢB期
解答を見る
b.c
午後-92
歯科用ユニットのメインテナンスで、1日の診療前に行うのはどれか。 1つ選べ。
a.バキューム管路の洗浄
b.ハンドピース類の注油
c.バキュームフィルターの交換
d.ハンドピース類のフラッシング
解答を見る
d
午後-93
普通石膏の硬化時間を短縮するために添加されるのはどれか。2つ選べ。
a.ホウ砂
b.クエン酸
c.硝酸カリウム
d.塩化ナトリウム
解答を見る
c.d
午後-94
88歳の男性。全部床義歯製作のため、個人トレーを用いて筋圧形成を 行うことになった。器材の写真を別に示す。 準備するのはどれか。2つ選べ。


a. ①
b. ②
c. ③
d. ④
解答を見る
a.d
午後-95
60歳の男性。上顎左側第一大臼歯が水にしみることを主訴として来院した。10年前に修復処置を受けたという。コンポジットレジン修復を行うことになった。初診時の口腔内写真(A)、エックス線画像(B)および回転切削器具の写真を別に示す。 最初に使用するのはどれか。1つ選べ。




a. ①
b. ②
c. ③
d. ④
解答を見る
a
午後-96
22歳の男性。上顎左側小臼歯部の一過性の冷水痛を主訴として来院した。 診察の結果、間接修復を行うことになった。完成した修復物の写真を別に示す。接着前の修復物に行う処理はどれか。2つ選べ。

a.シラン処理
b.サンドブラスト処理
c.ポリカルボン酸処理
d.硫黄含有プライマー処理
解答を見る
a.b
午後-97
25歳の女性。歯の黄ばみを主訴として来院した。診察の結果、漂白処置を行うことになった。使用する器材の写真を別に示す。 患者に対する説明で適切なのはどれか。 2つ選べ。


a.漂白は週1回を目安に行ってください。
b.トレーは食事以外、終日装着してください。
c.硝酸カリウム入り歯磨剤の使用を推奨します。
d. 漂白剤はトレーの歯の部分が半分埋まるくらい入れてくだきい。
解答を見る
c.d
午後-98
75歳の男性。義歯使用時に噛むと痛いということを主訴として来院した。 検査時の写真(別冊午後No.41)を別に示す。 この検査の目的はどれか。1つ選べ。

a.咬合高径の確認
b.咀嚼能力の測定
c.義歯床粘膜面の適合
d.義歯床辺縁形態の決定
解答を見る
c
午後-99
歯科医師から下顎左側第一小臼歯のオールセラミッククラウンの プロピジョナルレストレーションを製作するよう指示を受けた。支台歯形成前の印象体を使用して製作する場合の手順を図に示す。下線部分で正しいのはどれか。2つ選べ。

a. ①
b. ②
c. ③
d. ④
解答を見る
b.c
午後-100
25歳の女性。下顎左側大臼歯部の痛みと咀噸困難を主訴として来院した。 口腔内写真および鉗子の写真を別に示す。 矢印で示す歯の抜去の準備を歯科医師から指示きれた。 準備する鉗子はどれか。1つ選べ。



a. ①
b. ②
c. ③
d. ④
解答を見る
a
問題番号 101~110
午後-101
矯正歯科用器具の写真(別冊午後N0.43)を別に示す。リンガルアーチの主線を屈曲するのはどれか。1つ選べ。


a. ①
b. ②
c. ③
d. ④
解答を見る
c
午後-102
手足口病の感染経路はどれか。2つ選べ。
a. 空気感染
b. 垂直感染
c. 接触感染
d. 飛沫感染
解答を見る
c.d
午後-103
12歳の女児。下顎右側第一大臼歯の冷水痛を主訴として保護者と来院した。昨夜、アイスクリームを食べた後に痛くなったという。診察の結果、歯髄鎮静療法を行うことになった。 使用するのはどれか。1つ選べ。
a.MTAセメント
b.フェノールカンフル
c.水酸化カルシウム製剤
d.タンニン・フッ化物合材配合ポリカルボキシレートセメント
解答を見る
b
午後-104
73歳の男性。下顎両側犬歯の着色を主訴として来院した。根面う蝕と診断され、う蝕の処置が行われることになった。口呼吸があることから、簡易防湿を行うよう歯科医師から指示を受けた。初診時の口腔内写真を 別に示す。 使用が望ましいのはどれか。1つ選べ。

a.コンポジットレジン
b.リン酸亜鉛セメント
c.ポリカルボキシレートセメント
d.従来型グラスアイオノマーセメント
解答を見る
d
午後-105
乳児の人形を使った一次救命処置における胸骨圧迫例の写真(別冊午後 No.45)を別に示す。 正しいのはどれか。2つ選べ。


a. ①
b. ②
c. ③
d. ④
解答を見る
a.d
午後-106
75歳の男性。嚥下困難を主訴として来院した。6か月前に舌癌と診断され、 舌全摘術と皮弁再建術を受けている。術後、舌機能低下による口腔期の送り込み障害を代償する装置を製作し装着している。姿勢や摂食動作に問題はない。口腔内 写真を別に示す。 経口摂取を推進するうえで連携すべき職種はどれか。2つ選べ。

a.薬剤師
b.管理栄養士
c.言語聴覚士
d.臨床検査技師
解答を見る
b.c
午後-107
口腔機能の訓練の写真を別に示す。この訓練で改善きれるのはどれか。1つ選べ。

a.喀出力
b.口腔内圧
c.食べこぼし
d.嚥下反射の惹起
解答を見る
b
午後-108
73歳の男性。歯科健康診査のため来院した。1年前に脳血管疾患を発症し、後遺症による構音障害で発音がしづらいという。歯科医師から構音訓練の 指示を受けた。 「アー」と繰り返し発音することにより強化されるのはどれか。1つ選べ。
a.口唇
b.舌後方
c.舌前方
d.軟口蓋
解答を見る
d
午後-109
4歳の男児。日常の歯磨きがうまくできないことを主訴として保護者と来院した。3歳児健康診査では対人関係、コミュニケーションの遅れや歯の汚れを指摘されたという。評価後に指導した訓練の写真を別に示す。 保護者への指導内容はどれか。2つ選べ。

a.毎日実施してください。
b.徐々に慣れさせていってください。
c.歯磨きのあとに行ってください。
d.強い刺激を断続的に与えてください。
解答を見る
a.b
午後-110
88歳の男性。食事の少しあとにむせることを主訴として、家族から歯科訪問診療の依頼があった。診察の結果、下咽頭に食物が残留することによる嚥下後の誤嚥が指摘された。歯科医師から、口腔機能訓練を行うよう指示された。指導するのはどれか。1つ選べ。
a.ガムラビング
b.シャキア訓練
c.ブローイング訓練
d.頬の膨らまし訓練
解答を見る
b


コメント